Understanding Whitening Root Canal Teeth
Root canal treatment saves teeth that are severely damaged or infected. While this procedure effectively addresses the underlying issue, it can sometimes lead to tooth discoloration. This darkening can significantly impact your smile and overall confidence. Fortunately, several effective methods exist to restore the natural brightness of your teeth after a root canal. This article will delve into the causes of discoloration, explore the top 7 secrets for whitening root canal teeth, and discuss potential risks and alternatives. Understanding these aspects empowers you to make informed decisions about your dental health and maintain a radiant smile.
What Causes Tooth Discoloration After Root Canal?
Several factors can contribute to tooth discoloration following a root canal. The primary reason is the presence of debris and bacteria within the tooth’s internal structure that were not completely removed during the procedure. This residual matter can lead to staining from within the tooth. Additionally, the materials used during the root canal, such as gutta-percha and the sealer, may stain the tooth over time. Bleeding inside the tooth after the procedure can also cause discoloration. This blood breaks down and releases pigments that stain the dentin, the layer beneath the enamel. Understanding these causes is crucial to choosing the right whitening approach.
The Impact of a Root Canal on Tooth Color

A root canal procedure can impact the natural color of your tooth due to the changes in its internal environment. The loss of the tooth’s pulp and blood supply, which nourished the tooth, can make it appear more opaque or dull. The tooth is essentially ‘dead,’ and its internal structure becomes more susceptible to staining. The tooth can turn a greyish or brownish hue. This is a common concern for many patients, but it’s a manageable one. The good news is that discoloration after a root canal can often be effectively treated, restoring the tooth’s natural appearance and blending seamlessly with your surrounding teeth.
Top 7 Secrets for Whitening Root Canal Teeth
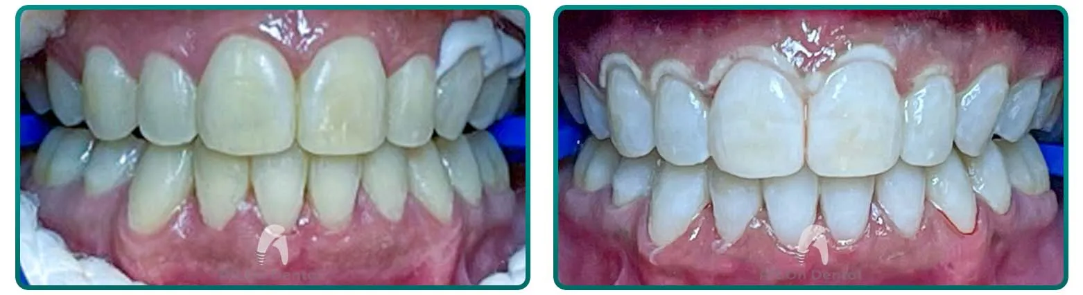
Secret 1 Professional Internal Bleaching
Internal bleaching is the most common and effective method for whitening root canal teeth. The dentist accesses the inside of the tooth through a small opening and places a bleaching agent, typically hydrogen peroxide, directly into the pulp chamber. This bleaching agent is left inside the tooth for a specified period, often several days, allowing it to penetrate the dentin and lighten the tooth from within. The procedure may be repeated several times until the desired shade is achieved. Internal bleaching is a highly successful and conservative treatment, often yielding excellent results. It’s a preferred method because it addresses the discoloration at its source, providing lasting results and natural-looking teeth.
How Internal Bleaching Works

The process involves your dentist accessing the root canal space after preparing your tooth. The dentist inserts a bleaching agent into the tooth’s internal area. The bleaching agent then penetrates the dentin, the layer below the enamel, and oxidizes the discolored substances causing the staining. The dentist seals the tooth. They will monitor your progress closely during the procedure. The duration and number of applications depend on the severity of the discoloration and the desired results. This process works best for discoloration caused by the breakdown of blood products or the use of materials within the tooth.
Secret 2 External Bleaching Options
While internal bleaching is the primary method for treating root canal teeth, external bleaching can also be an option in certain situations. External bleaching involves applying a bleaching agent to the outer surface of the tooth. This may be a good option if the tooth’s discoloration is not too severe. The external bleaching, such as the at-home whitening kits or professional in-office treatments, can help improve the overall appearance of the tooth and match it with the surrounding teeth. Discuss with your dentist whether external bleaching suits your needs. It’s especially helpful for teeth with a slight external stain in addition to internal discoloration.
Secret 3 The Role of Composite Fillings
After internal or external bleaching, the dentist may need to replace any existing fillings with a new composite filling that matches the newly whitened tooth. Composite fillings can be color-matched to blend seamlessly with your natural teeth. This is a very important step in achieving a uniform and aesthetically pleasing result. The new composite filling can be used to close the access point created during the root canal or internal bleaching. This ensures that the tooth is sealed and protected. This is vital for maintaining the tooth’s integrity and preventing further discoloration. Your dentist will consider the shade of the surrounding teeth when choosing the composite, resulting in a beautiful smile.
Secret 4 Microabrasion Techniques

Microabrasion is a technique that removes superficial stains and imperfections from the enamel’s surface. This procedure involves the controlled use of abrasive materials or a special bur. This can improve the overall appearance of the tooth by removing mild stains and smoothing out minor surface irregularities. This procedure is typically done on the surface of the tooth, not inside. Microabrasion can be a useful method if the discoloration is primarily on the surface. This often helps make the tooth appear lighter. It’s often combined with other whitening methods. Always consult your dentist before opting for microabrasion to determine if it suits your case.
Secret 5 Maintaining Good Oral Hygiene
Maintaining excellent oral hygiene is crucial for preserving the results of any whitening treatment. Brush your teeth twice daily with fluoride toothpaste and floss once daily to remove plaque and food particles that can contribute to staining. Consider using a whitening toothpaste, but consult your dentist. Regular professional cleanings are also essential to remove plaque and tartar buildup that brushing and flossing may miss. Limiting the consumption of staining foods and drinks, such as coffee, tea, red wine, and dark berries, can further prevent future discoloration. A commitment to consistent oral hygiene will help to keep your teeth bright and healthy, ensuring the longevity of your whitening treatment and a beautiful smile.
Secret 6 Diet and Lifestyle Adjustments
Your diet and lifestyle choices have a significant impact on the color of your teeth. Limit your intake of foods and drinks known to stain teeth, such as coffee, tea, red wine, and dark-colored berries. Consider using a straw when consuming these beverages to minimize contact with your teeth. Avoiding tobacco products is also essential. They can cause significant staining. Maintaining a balanced diet rich in calcium and other essential nutrients will support strong, healthy teeth. Drinking plenty of water helps to rinse away food particles and reduce the risk of staining. By making conscious choices about what you eat and drink, you can protect your teeth and maintain their brightness after whitening.
Secret 7 Regular Dental Check-ups

Regular dental check-ups and professional cleanings are critical for long-term oral health and maintaining the results of tooth-whitening procedures. Your dentist can monitor the health of your treated tooth and surrounding teeth and identify any potential issues early. Professional cleanings remove plaque and tartar that can lead to staining and discoloration. Your dentist can provide personalized advice on maintaining your oral health and preventing future staining. They can also provide touch-up whitening treatments as needed to keep your smile bright and beautiful. Regular dental visits will help you keep your teeth looking their best. This reinforces your commitment to lasting oral health.
Potential Risks and Considerations
While whitening root canal teeth is generally safe and effective, some potential risks and considerations should be kept in mind. The most common side effect is temporary tooth sensitivity, which typically resolves within a few days of the treatment. In rare cases, excessive bleaching can cause gum irritation or damage. Make sure you have a consultation with your dentist. They can evaluate your situation and tailor your treatment plan to minimize risks. It’s essential to follow your dentist’s instructions carefully and to avoid over-the-counter products without professional guidance. Discuss any concerns or sensitivities with your dentist before beginning any whitening treatment. They will guide you and help make informed decisions.
Success Rates and Expectations
The success rate of whitening root canal teeth is generally high, with many patients achieving significant improvements in tooth color. The results vary depending on the severity of the discoloration, the method used, and individual factors. The average duration is between 1 and 3 weeks. Discuss your expectations with your dentist. They can assess your situation and provide a realistic view. Maintaining good oral hygiene and limiting staining foods and drinks can help prolong the results. Regular dental check-ups and professional cleanings will further enhance the longevity of your whitening treatment. The long-term success often depends on consistent care.
Alternatives to Whitening Root Canal Teeth

If whitening is not an option or the results are unsatisfactory, several alternative treatments can improve the appearance of a discolored tooth. Dental veneers are thin shells. They are custom-made to cover the front surface of the tooth. They can effectively mask discoloration and provide a natural-looking result. Dental crowns, also known as caps, can cover the entire tooth. They provide added strength and restore the tooth’s appearance. Bonding is a procedure where a composite resin material is applied to the tooth and shaped to improve its appearance. Each option has its own benefits and drawbacks. Consult with your dentist to determine the best solution for your needs and preferences, which can help you get the radiant smile you desire.
