What is Zoom Teeth Whitening?
Zoom teeth whitening, a popular cosmetic dental procedure, is designed to lighten the shade of your teeth and remove stains and discoloration. This in-office treatment uses a powerful bleaching agent, typically containing hydrogen peroxide, activated by a special light. It’s a quick and effective way to achieve a brighter smile, making it a sought-after solution for those looking to enhance their appearance. Zoom whitening is often preferred over at-home whitening kits because of its faster results and professional application, providing a significant improvement in tooth shade in a single session. The procedure is conducted by a dental professional, ensuring both safety and optimal outcomes for patients seeking a more radiant smile in Melbourne.
How Does Zoom Whitening Work?
The Zoom whitening process is a carefully orchestrated series of steps designed to maximize effectiveness while minimizing potential discomfort. The procedure begins with the dentist isolating your teeth, protecting your gums and lips. Then, the whitening gel is applied to the surface of your teeth. This gel contains a high concentration of hydrogen peroxide, the active ingredient responsible for breaking down stains. A special Zoom light is then directed at your teeth. This light activates the hydrogen peroxide, accelerating the whitening process. The light helps the gel penetrate the enamel, effectively lifting stains and discoloration from within the tooth structure. This process is typically repeated in several cycles, each lasting about 15 minutes, until the desired shade is achieved. The dentist will carefully monitor the process, ensuring both safety and optimal results. The entire procedure, from start to finish, usually takes about an hour to an hour and a half.
The Zoom Whitening Procedure

The Zoom whitening procedure is a multistep process that a trained dental professional performs. First, the dentist assesses your oral health to ensure you are a suitable candidate and takes precautions to protect your gums and lips. The process begins with a thorough cleaning of your teeth. Next, a protective barrier is applied to your gums to prevent irritation from the whitening gel. The Zoom whitening gel is then applied to the surface of your teeth. The Zoom light is then directed at your teeth to activate the gel. This step is repeated in several cycles, usually 15 minutes each, until the desired level of whitening is achieved. Finally, the dentist removes the gel and provides aftercare instructions. The entire process, including preparation and multiple whitening cycles, usually takes about one to one and a half hours. It’s essential to follow your dentist’s post-procedure instructions to maintain your newly whitened smile and minimize any potential sensitivity. The dentist may recommend a fluoride treatment to reduce sensitivity.
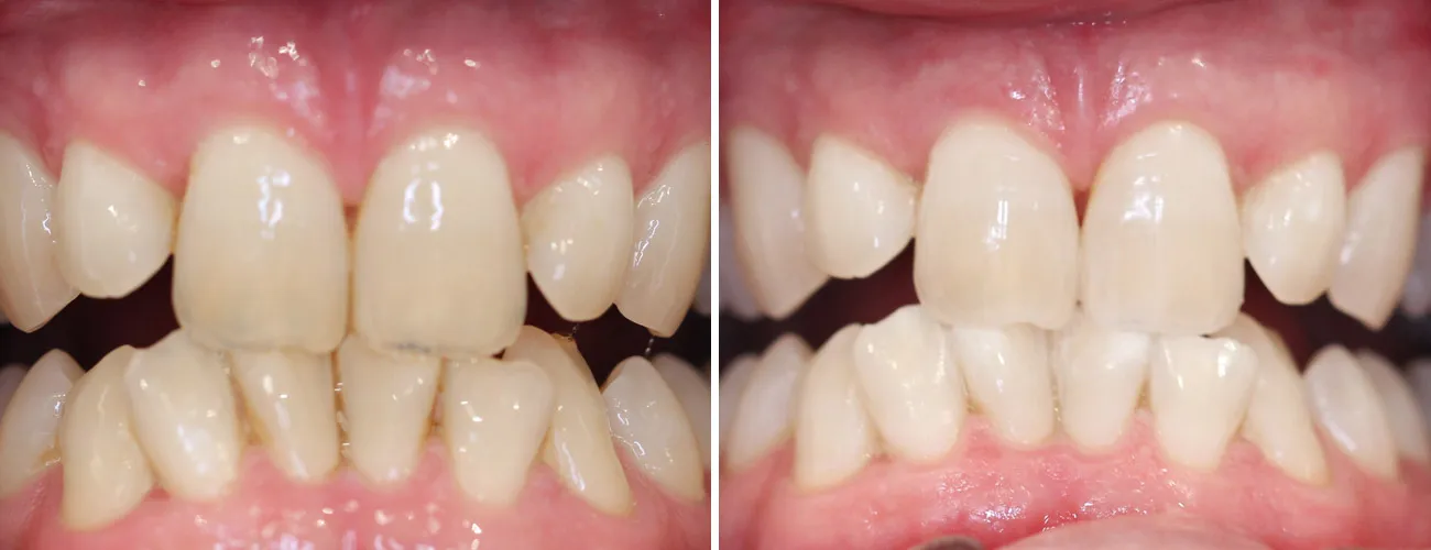
Fact 1 The Effectiveness of Zoom Whitening
Zoom teeth whitening is renowned for its impressive results. Many patients experience a significant improvement in the shade of their teeth after just one treatment. Results vary from person to person depending on the initial tooth shade, the nature of the stains, and individual enamel characteristics. Generally, Zoom whitening can lighten teeth by several shades, often achieving a noticeably brighter smile. The effectiveness is a significant factor in the popularity of Zoom whitening. It’s important to note that the procedure is most effective on extrinsic stains caused by food, drinks, and smoking. Internal stains, such as those caused by medications or genetics, may require additional treatments or alternative approaches. Consulting with a dentist in Melbourne will help determine if Zoom whitening is the right option for your specific needs and the extent of the potential whitening you can expect.
Fact 2 The Safety of Zoom Teeth Whitening
Zoom teeth whitening is generally considered safe when performed by a qualified dental professional. Dentists take several precautions to protect your gums and soft tissues. The primary concern is tooth sensitivity, which is a common, though usually temporary, side effect. The dentist will apply a protective barrier to your gums before the procedure. The concentration of hydrogen peroxide is carefully chosen to balance effectiveness and safety. Patients with existing dental issues, such as cavities or gum disease, may need to address these issues before undergoing Zoom whitening. It’s essential to inform your dentist about any dental work you have had done, as this may affect the procedure. Following the dentist’s aftercare instructions, including using a desensitizing toothpaste and avoiding staining foods and drinks, can minimize any discomfort and ensure the best possible outcome.
Fact 3 The Cost of Zoom Teeth Whitening in Melbourne

The cost of Zoom teeth whitening in Melbourne varies depending on factors like the dentist’s location, the complexity of the treatment, and any additional services included. Generally, Zoom whitening is a more expensive option compared to at-home whitening kits, reflecting the professional expertise, the stronger bleaching agents, and the advanced technology involved. Prices can range significantly, so it is crucial to obtain a quote from your chosen dental practice before proceeding. It is important to consider the long-term value and the results you can achieve with professional whitening. Check for any special offers or payment plans that a dental clinic might offer. Investing in professional teeth whitening can be a worthwhile investment in your appearance and confidence.
Fact 4 Expected Results and Longevity
The results from Zoom teeth whitening can be striking, but they are not permanent. The longevity of your results depends on several factors. After the whitening, you can expect a significantly brighter smile. The exact shade improvement varies, but it is usually several shades lighter. The results can last from several months to a few years. The duration of the results depends on your lifestyle habits. Factors like diet (avoiding staining foods and drinks), oral hygiene, and whether or not you smoke can affect how long the whitening lasts. Regular dental checkups and cleanings also contribute to maintaining your results. Your dentist might recommend at-home maintenance treatments, such as custom-fitted trays and whitening gel, to help extend the life of your brighter smile. By following these recommendations, you can maximize the longevity of your whitening results.
Fact 5 Aftercare and Maintenance Tips
After undergoing Zoom teeth whitening, proper aftercare is essential to maintain your results and minimize potential sensitivity. Your dentist will provide specific instructions, but the following are some general guidelines. For the first few days, it’s important to avoid foods and drinks that can stain your teeth. This includes coffee, tea, red wine, dark juices, and deeply colored sauces. Use a desensitizing toothpaste, as your teeth may be more sensitive than usual. Practice excellent oral hygiene by brushing twice a day, flossing daily, and using a mouthwash. Consider using a straw when drinking beverages that can stain your teeth. Avoid smoking or using tobacco products. Schedule regular dental checkups and cleanings to help maintain your bright smile. Your dentist may also recommend at-home whitening trays for maintenance. By following these aftercare tips, you can extend the life of your newly whitened smile and ensure long-lasting results.
Finding a Qualified Provider in Melbourne

Choosing a qualified provider in Melbourne is a crucial step in the Zoom whitening process, ensuring both safety and optimal results. Start by researching dentists in your area who offer Zoom whitening. Check their credentials, experience, and patient reviews. Look for dentists with a strong reputation and positive testimonials. Consider asking friends, family, or colleagues for recommendations. During your initial consultation, ask about the dentist’s experience with Zoom whitening and their approach to the procedure. Ensure that the dentist uses genuine Zoom whitening products and follows proper protocols. A qualified provider will conduct a thorough examination of your teeth and gums to determine if Zoom whitening is suitable for you. They will also discuss the potential risks and benefits and provide realistic expectations. A good dentist will prioritize your safety and comfort throughout the procedure.
What to Expect During Your Consultation
During your Zoom teeth whitening consultation in Melbourne, you can expect a comprehensive assessment of your oral health and a detailed discussion about the procedure. The dentist will examine your teeth and gums to determine your suitability for Zoom whitening. They will assess the current shade of your teeth and discuss your desired outcome. The dentist will explain the Zoom whitening process, including the steps involved, the potential risks, and the expected results. Be prepared to discuss your medical history, any allergies, and any previous dental treatments. The dentist will also address any questions or concerns you may have. They will provide a cost estimate and discuss payment options. The consultation is an opportunity for you to build a relationship with the dentist. Ask about their experience with Zoom whitening and view before-and-after photos of previous patients. A good consultation will leave you feeling informed, confident, and ready to make an informed decision about your teeth whitening journey.
