Zoom Teeth Whitening Results: What to Expect
Zoom teeth whitening is a popular and effective cosmetic dental procedure designed to brighten your smile. Many people seek this treatment to remove stains and discoloration caused by various factors, including aging, diet, and lifestyle choices. But, what can you realistically expect from Zoom teeth whitening results? This comprehensive guide will delve into the science behind the treatment, the factors that influence results, the procedure itself, and how to maintain your dazzling new smile. Understanding these aspects will help you make an informed decision and achieve the best possible outcome. Prepare to learn about the amazing potential of a brighter, more confident you, thanks to Zoom teeth whitening.
How Zoom Whitening Works
Zoom teeth whitening utilizes a professional-strength bleaching agent, typically a hydrogen peroxide gel, activated by a special blue light. This process breaks down stain molecules within the enamel, the outer layer of your teeth. The procedure is usually performed in a dental office and involves isolating the teeth, applying the whitening gel, and shining the Zoom light on them for a specific period. The entire process usually takes about an hour, making it a convenient option for busy individuals. The light helps to accelerate the whitening process, allowing for a more dramatic transformation in a shorter amount of time. Several sessions may be required depending on the degree of staining.
The Science Behind Zoom Whitening

The science behind Zoom whitening revolves around the chemical reaction between the hydrogen peroxide and the stain molecules within the tooth enamel. The hydrogen peroxide penetrates the enamel, breaking down the stain molecules into smaller, less visible components. This process is accelerated by the Zoom light, which helps catalyze the chemical reaction. The light doesn’t actually whiten the teeth itself but rather enhances the effectiveness of the bleaching agent. The intensity and wavelength of the light are carefully calibrated to optimize the whitening process while minimizing potential side effects. It’s a safe and effective method when performed by trained dental professionals.
Factors Affecting Results
While Zoom whitening is highly effective, the final results can vary depending on several factors. Understanding these factors is crucial for setting realistic expectations. Factors include the patient’s age, the intensity and duration of the staining, and the type of stains. Some stains are easier to remove than others, and some teeth whiten better than others. It is important to discuss these factors with your dentist before undergoing the procedure to ensure you are fully aware of the potential outcomes.
Tooth Shade and Staining
The initial shade of your teeth plays a significant role in the final results. People with naturally yellowish teeth tend to see better results than those with grayish teeth. The type of staining also matters. Surface stains caused by coffee, tea, and tobacco are generally easier to remove than intrinsic stains caused by medications or dental fluorosis. Your dentist will assess your teeth’s shade and the type of staining to give you a realistic estimate of the whitening potential. A shade guide is often used to document the initial and final tooth shades, allowing you to see the transformation.
Lifestyle Choices

Your lifestyle choices significantly impact the long-term results of Zoom teeth whitening. Smoking, consuming coffee, tea, red wine, and other staining foods and drinks can re-stain your teeth over time. Maintaining a good oral hygiene routine, including regular brushing, flossing, and dental check-ups, is essential. Avoiding or minimizing the consumption of stain-causing substances will help prolong the whitening effects and keep your smile bright. Remember that the effects of the whitening treatment can be impacted by the way you live your life.
The Procedure: Before, During, and After
The Zoom teeth whitening procedure is a straightforward process. It typically involves an initial consultation, pre-whitening preparations, the whitening treatment itself, and post-whitening care instructions. Your dentist will assess your oral health, discuss your expectations, and explain the procedure in detail. Following the dentist’s instructions is paramount to ensure the best outcome. The entire process, from start to finish, is designed to give you the best possible results while ensuring your comfort and safety.
Pre-Whitening Preparations
Before the Zoom whitening procedure, your dentist will typically clean your teeth to remove any plaque or debris that could interfere with the whitening process. This can also involve a regular dental cleaning. They may also take photographs of your teeth to document the initial shade. If you have any cavities or gum disease, these issues will need to be addressed before the whitening treatment. Your dentist might recommend using a special toothpaste for a few weeks before the procedure to reduce sensitivity.
The Zoom Whitening Process

During the Zoom whitening process, your dentist will protect your gums and lips. They will apply a high-concentration hydrogen peroxide gel to your teeth. The Zoom light is then directed at your teeth to activate the gel. The gel is usually applied in intervals, with the light shining for about 15 minutes each time. This process is typically repeated several times during a single session. The entire procedure usually takes about an hour. You may experience some mild tingling or sensitivity during the process, but this is temporary.
Post-Whitening Care
After the Zoom whitening procedure, your dentist will provide you with post-whitening care instructions. These instructions are crucial for maintaining your results and minimizing any potential side effects. You will typically be advised to avoid staining foods and drinks for at least 48 hours. You may also be given a special toothpaste to reduce sensitivity. Following these instructions carefully will help you to maximize the benefits of the treatment. Keep your dentist informed of any concerns during the recovery process.
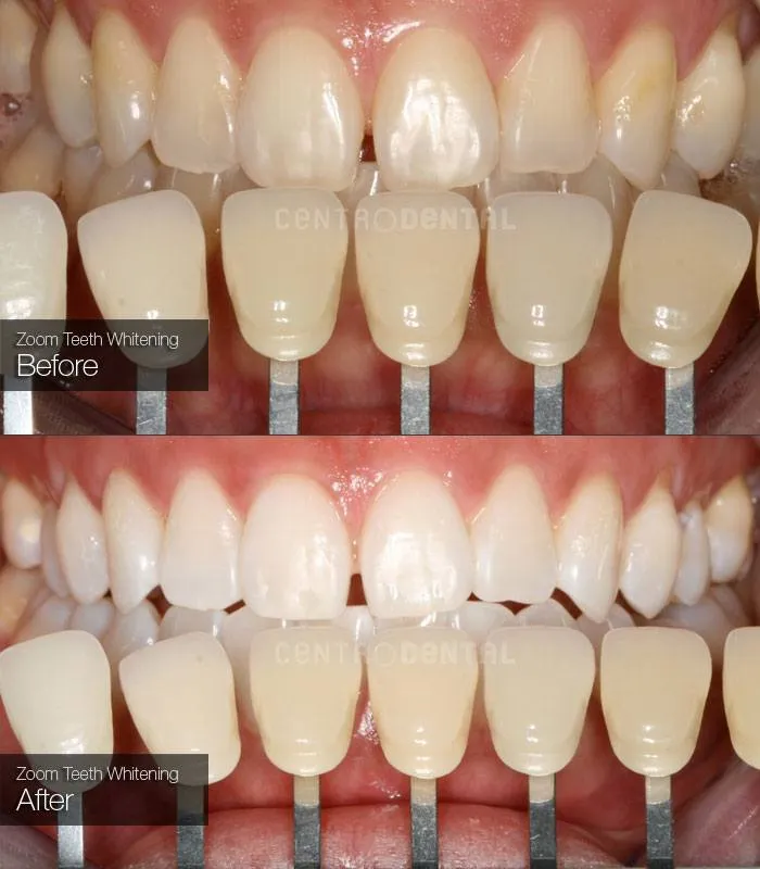
Expected Results: What’s Possible
The results of Zoom teeth whitening can vary. Many patients see a significant improvement in the whiteness of their teeth. On average, teeth can lighten by several shades. However, the degree of whitening depends on factors like the initial tooth shade, the type of stains, and your lifestyle habits. It is important to remember that results are not always permanent, and touch-up treatments may be needed to maintain the desired brightness. Your dentist will provide you with a realistic expectation based on your specific situation.
Immediate Results

One of the major advantages of Zoom whitening is the immediate results. You can often see a noticeable difference in the whiteness of your teeth immediately after the procedure. This is a significant benefit for those seeking a quick and effective way to improve their smile. While the full effect may become more apparent in the days following the treatment, you will likely see a brighter smile as soon as you leave the dental office. It’s a great way to boost your confidence quickly!
Long-Term Results
While Zoom whitening offers immediate results, the long-term effects depend on several factors, including your lifestyle choices and oral hygiene. The results can last for several months to a few years. However, the effects will gradually fade over time. To maintain the results, it is important to practice good oral hygiene, avoid stain-causing foods and drinks, and consider touch-up treatments as recommended by your dentist. Regular dental check-ups and professional cleanings can also help to preserve your bright smile. The longevity of results can be extended with proper care and maintenance.
Maintaining Your Bright Smile
Maintaining your bright, white smile after Zoom teeth whitening requires a proactive approach. This includes following a consistent oral hygiene routine and making mindful choices about your diet and lifestyle. Regular dental check-ups and professional cleanings are also vital for ensuring the health and beauty of your teeth. By adhering to these practices, you can prolong the effects of the whitening treatment and keep your smile looking its best for years to come. Remember, consistent effort is key.
Oral Hygiene Practices

Proper oral hygiene is fundamental to maintaining a bright smile. This includes brushing your teeth at least twice a day with fluoride toothpaste, flossing daily to remove plaque and food particles from between your teeth, and using an antibacterial mouthwash to reduce bacteria. Replace your toothbrush every three months or sooner if the bristles become frayed. Additionally, consider using an electric toothbrush, as they often do a better job of removing plaque and debris. Effective and consistent hygiene is the foundation of a healthy, beautiful smile.
Avoiding Stain-Causing Foods and Drinks
Certain foods and drinks can stain your teeth and diminish the results of Zoom whitening. Common culprits include coffee, tea, red wine, dark sodas, and heavily pigmented foods like berries and curries. Minimizing your consumption of these items or rinsing your mouth with water after consuming them can help to reduce staining. If you do consume stain-causing substances, brush your teeth soon after to remove any surface stains. Being mindful of your diet can play a significant role in maintaining a bright, white smile.
Touch-Up Treatments
Over time, your teeth may gradually lose some of their brightness. To maintain your desired shade, your dentist may recommend touch-up treatments. These can be performed at the dental office or at home, using custom-fitted trays. Touch-up treatments can help to refresh your smile and keep it looking its best. The frequency of touch-up treatments will vary depending on your individual needs and habits. Discussing a maintenance plan with your dentist is essential for long-term results.
Zoom Whitening vs. Alternatives

Several other teeth whitening options are available. Understanding the differences between these options can help you make the best choice for your needs. Consider the cost, convenience, and effectiveness of each treatment before making your decision. Consulting with your dentist is the best way to determine the most suitable whitening method for your specific situation.
Professional vs. Over-the-Counter Options
Professional teeth whitening, such as Zoom, offers significant advantages over over-the-counter options. Professional treatments use higher concentrations of bleaching agents, providing faster and more dramatic results. They are also administered by trained dental professionals, ensuring safety and effectiveness. Over-the-counter options, such as whitening strips and toothpastes, are generally less effective and may not be suitable for all types of stains. While they can be a more affordable alternative, they often take longer to produce results and may not provide the same level of whitening.
Pros and Cons of Zoom Whitening
Zoom whitening offers several benefits. The procedure provides fast, effective results, often lightening teeth by several shades in a single visit. It is a safe procedure when performed by a qualified dental professional. The treatment is relatively comfortable and convenient, taking about an hour to complete. On the other hand, Zoom whitening can cause temporary sensitivity in some individuals. The cost of the treatment is higher than over-the-counter options, and the results are not permanent. A good understanding of the pros and cons is key to deciding if Zoom Whitening is right for you.
Potential Side Effects and Risks

While Zoom teeth whitening is generally considered safe, some potential side effects and risks exist. It’s important to be aware of these before undergoing the procedure. Discussing these with your dentist will help you make an informed decision and prepare for any potential issues.
Sensitivity
Tooth sensitivity is a common side effect of Zoom teeth whitening. You may experience some sensitivity to hot or cold foods and drinks for a few days after the procedure. This is usually temporary and can be managed with desensitizing toothpaste or fluoride treatments. Your dentist may recommend using a special toothpaste before and after the procedure to help minimize sensitivity. In most cases, the sensitivity subsides within a few days.
Gum Irritation
Gum irritation is another potential side effect. During the procedure, the bleaching agent can sometimes come into contact with the gums, leading to mild irritation. This can cause the gums to become inflamed, red, or tender. Your dentist will take precautions to protect your gums during the procedure. Any irritation usually resolves within a few days. If you experience any persistent or severe side effects, contact your dentist.
Who Is a Good Candidate for Zoom Whitening
Not everyone is a good candidate for Zoom teeth whitening. The best candidates have healthy teeth and gums and are seeking to improve the appearance of their smile. People with significant staining from coffee, tea, tobacco, or aging are often good candidates. However, it’s important to consult with your dentist to determine if Zoom whitening is right for you. Your dentist will assess your oral health and discuss your goals to determine the best course of action. The best candidates often have realistic expectations.
Consulting with Your Dentist
The most important step in considering Zoom teeth whitening is consulting with your dentist. Your dentist will evaluate your oral health, discuss your cosmetic goals, and determine if Zoom whitening is the right choice for you. They will also explain the procedure, potential side effects, and expected results. If Zoom whitening isn’t suitable for your situation, your dentist can suggest alternative whitening methods or other cosmetic dental procedures. Professional guidance is key to achieving a healthy and beautiful smile. Your dentist knows what will work best for your individual teeth. This consultation will ensure you are comfortable with the decision.
In conclusion, Zoom teeth whitening can deliver amazing results, transforming your smile and boosting your confidence. Understanding the procedure, expected outcomes, and maintenance is crucial for achieving and preserving a brighter smile. By consulting with your dentist, following their recommendations, and practicing good oral hygiene, you can enjoy a dazzling, healthy smile for years to come. Embrace the power of a confident smile and explore the possibilities of Zoom teeth whitening today!
